论文已发表
注册即可获取德孚的最新动态
IF 收录期刊
Original Research
基于炎症的预后指标对鼻咽癌患者的预后价值:一项倾向值分数匹配研究

Original Research
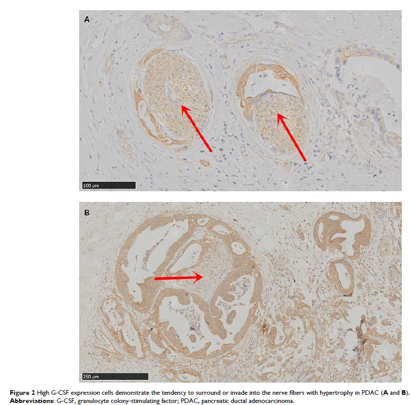
G-CSF 与神经发生有关,可预测胰腺导管腺癌的预后和对化疗的敏感性

Original Research
hsa_circ_0000711 在结直肠癌中的表达谱及临床应用潜力

Original Research
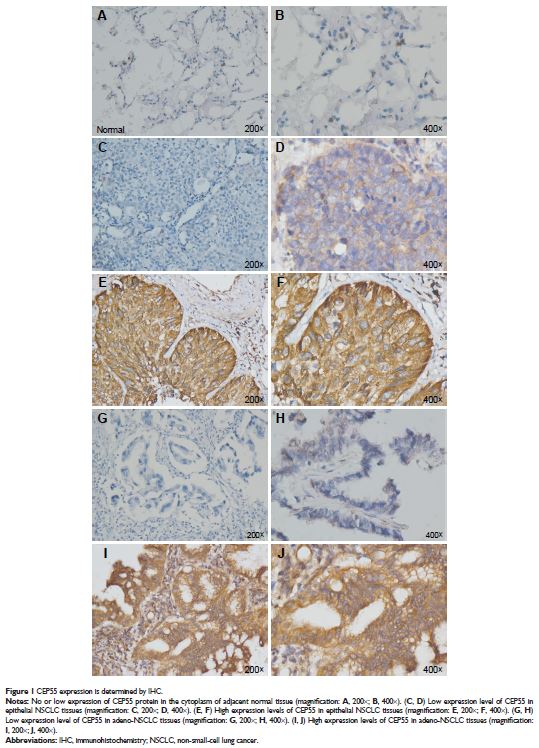
高 CEP55 表达与非小细胞肺癌的不良预后相关

Case Series
ALK -重排肺神经内分泌癌:对罕见病例系列和文献综述的综合研究

Original Research
Nrdp1 的表达降低预示着人肝细胞癌的预后不良
