论文已发表
注册即可获取德孚的最新动态
IF 收录期刊
Original Research
基于网络的标志物被用于预测非吸烟性肺腺癌的存活率

Original Research
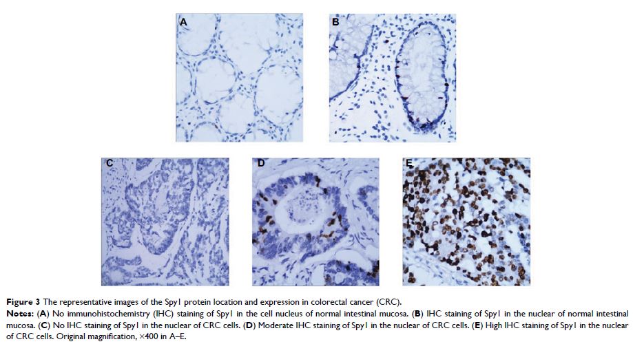
高 Spy1 表达预示结肠直肠癌预后不良

Original Research
中国大陆结肠腺瘤的流行和特征

Review
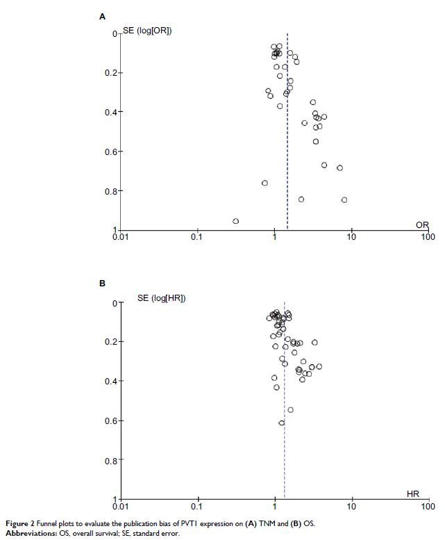
基于转录组数据和荟萃分析,lncRNA PVT1 被鉴定为实体肿瘤预后监测的独立生物标志物

Original Research
应用基于超临界流体技术的可吸入 siRNA 纳米粒子修饰的多孔微粒克服多药耐药性

Original Research
一种新型白蛋白包裹的美洛昔康纳米悬浮液,可改善炎症靶向作用
