-
Review

- 作者:Lei Zhang, Wendi Yang, Chaohua Hu, Qianchao Wang, Yunkun Wu
- 期刊:International Journal of Nanomedicine
-
Original Research

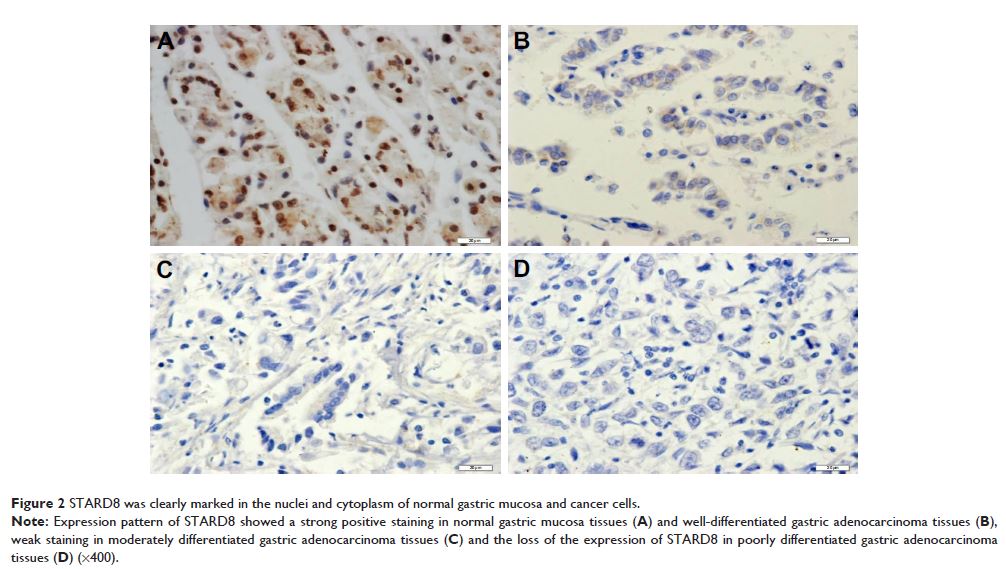
- 作者:Shuanglong Zhang, Xiaojing Chang, Jinguo Ma, Jing Chen, Yu Zhi, Zhenhua Li, Dongqiu Dai
- 期刊:OncoTargets and Therapy
-
Original Research

- 作者:Lei Wang, Zhiyuan Chen, Yang Liu, Yang Du, Xiuheng Liu
- 期刊:Drug Design, Development and Therapy
-
Original Research

- 作者:Rui Wang, Yang Li, Xu-Dong Huai, Qing-Xuan Zheng, Wei Wang, Hui-Jing Li, Qi-Yong Huai
- 期刊:Drug Design, Development and Therapy
-
Original Research

- 作者:Maochen Zhang, Tianyu Zhang, Liwen Hong, Chen Zhang, Jie Zhou, Rong Fan, Lei Wang, Zhengting Wang, Bin Xu, Jie Zhong
- 期刊:Patient Preference and Adherence
-
Original Research

- 作者:朱晓斐,李付琦,刘文宇,时冬辰,居小萍,曹洋森,沈钰新,曹飞,清水汪,方芳,贾臻,张火俊
- 期刊:Cancer Management and Research