论文已发表
注册即可获取德孚的最新动态
IF 收录期刊
Review
用于药物和基因传递的刺激响应性囊泡聚合物纳米融合剂

Original Research
南非农村地区患有多发慢性病且日常生活活动能力困难的老年人的主观健康状况和生活质量

Original Research
基质金属蛋白酶 2 促进侵袭性表型、上皮 - 间质转化和鼻咽癌的的不良预后

Original Research
ASAP3 是 HIF-1α 的下游靶点,对肺腺癌的进展至关重要

Original Research
miR-937 通过靶向 APAF1 在乳腺癌中调节癌细胞增殖和凋亡

Original Research
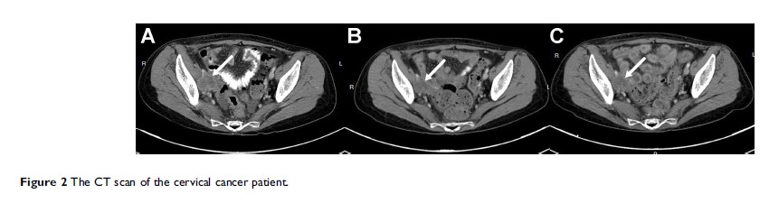
关于阿帕替尼治疗晚期宫颈癌的一项 6 例患者的回顾性研究
