-
Original Research 视频

- 作者:Rui Fang, Shupei Qiao, Yi Liu, Qingyuan Meng, Xiongbiao Chen, Bing Song, Xiaolu Hou, Weiming Tian
- 期刊:International Journal of Nanomedicine
-
Original Research

- 作者:Yang Liu, Ming Xu, Qing Chen, Guannan Guan, Wen Hu, Xiuli Zhao, Mingxi Qiao, Haiyang Hu, Ying Liang, Heyun Zhu, Dawei Chen
- 期刊:International Journal of Nanomedicine
-
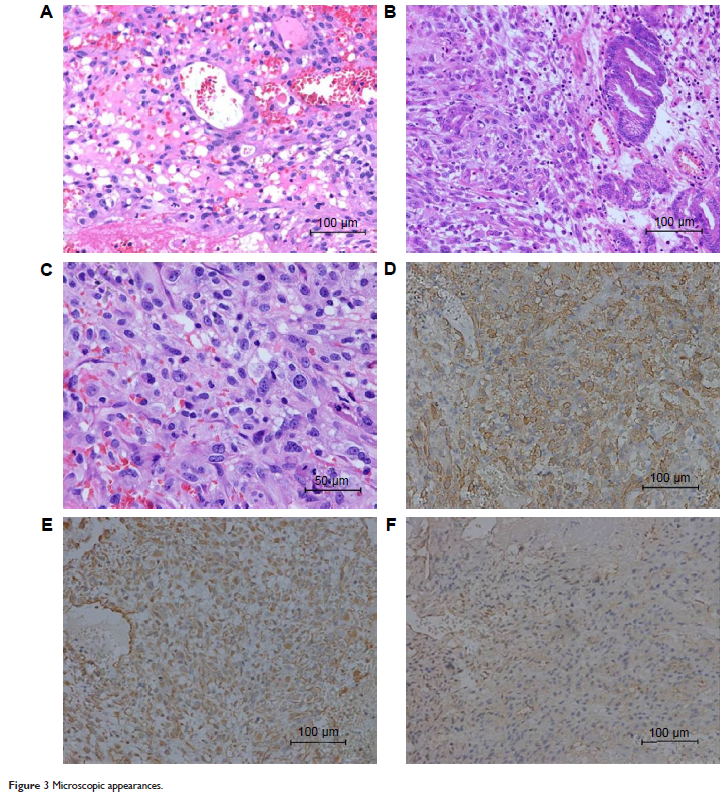
Case Report

- 作者:Liang-Liang Dong, En-Guo Chen, Irfan S Sheikh, Zhi-Nong Jiang, Ai-Hua Huang, Ke-Jing Ying
- 期刊:OncoTargets and Therapy
-
Original Research

- 作者:Li-ping Huang, Guo-qi Wang, Zi-shan Jia, Jing-wen Chen, Gang Wang, Xing-lin Wang
- 期刊:Therapeutics and Clinical Risk Management
-
Original Research

- 作者:Yipeng Ding, Danlei Yang, Long Zhou, Junxu Xu, Yu Chen, Ping He, Jinjian Yao, Jiannan Chen, Huan Niu, Pei Sun, Tianbo Jin
- 期刊:International Journal of Chronic Obstructive Pulmonary Disease
-
Original Research

- 作者:Hong-shan Wang, Li-hong Wang
- 期刊:OncoTargets and Therapy