论文已发表
注册即可获取德孚的最新动态
IF 收录期刊
Original Research
使用阿帕替尼治疗铂耐药的复发性上皮性卵巢癌的疗效和安全性:一项现实世界研究

Original Research
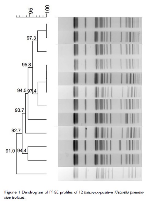
首次报道中国新生儿病房产 NDM -5 型肺炎克雷伯菌的院内暴发

Original Research
药物干预对一家中国医院使用碳青霉烯类药物的影响:一项前期研究

Original Research
鼻窦鳞状细胞癌患者术前中性粒细胞与淋巴细胞比率的预后价值

Original Research
足月妊娠/母乳喂养和家族易感性之间的协同效应对乳腺癌风险的影响

Original Research
基于分子诊断技术的术中预测乳腺癌患者腋窝非前哨淋巴结转移的预测模型
