论文已发表
注册即可获取德孚的最新动态
IF 收录期刊
Review
慢性阻塞性肺病患者呼出的一氧化氮:系统综述和荟萃分析

Original Research
血小板膜受体 P2Y12 基因 H1/H2 多态性与脑梗死密切相关:病例-对照研究

Original Research
长非编码 RNA Sox2 重叠转录物(SOX2OT)通过海绵化 microRNA 132(miR-132)促进非小细胞肺癌的迁移和侵袭

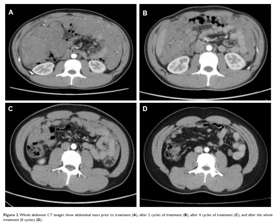
Case Report
重组人血管内皮抑制素(恩度)和传统化疗成功治疗复发性睾丸胚胎性横纹肌肉瘤:一份病例报告

Original Research
miR-376a 通过靶向神经毡蛋白-1NR 抑制乳腺癌细胞进展

Original Research 视频
E2F3 促进癌症生长并且通过人黑素瘤中的拷贝数变异进行过表达
