论文已发表
注册即可获取德孚的最新动态
IF 收录期刊
Original Research
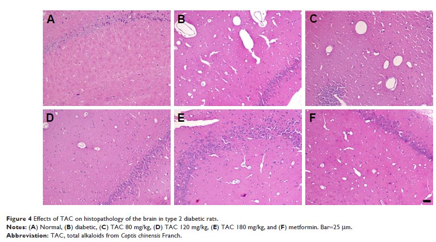
来自黄连的总生物碱改善了 2 型糖尿病大鼠的认知缺陷

Case Report
肺淋巴管肌瘤病一例报道并文献回顾

Original Research
长链非编码 RNA HNF1A-AS1 在中国癌症患者中的预后作用:一项综合分析

Original Research
结肠癌全基因组范围 APA 位点的研究

Original Research
STARD13 与良好的预后正相关,并通过抑制肝癌细胞的肿瘤干扰来增强 5-FU 的敏感性

Original Research
真核翻译起始因子 3 亚基 G(EI F3G)通过抑制 MRP 和 MDR1 将 HC T116/5-Fu 重新敏化为 5-氟尿嘧啶(5-Fu)
