论文已发表
注册即可获取德孚的最新动态
IF 收录期刊
Case Report
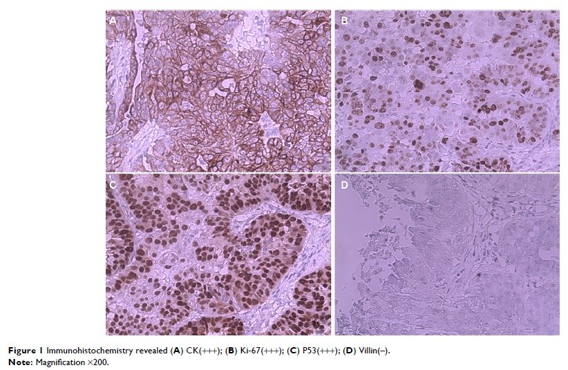
卵巢浆液性囊腺癌胃转移

Review
运动可以改善阿尔茨海默病患者的认知:随机对照试验的系统评价和荟萃分析

Original Research
本文章已被撤回:MicroRNA 628 通过靶向 SOS1 抑制乳腺癌干细胞的转移和侵袭能力研究

Case Report
首发为马尾综合征的肺癌软脑膜转移:病例报告及文献复习

Original Research
氯胺酮和乙醇的相互作用影响大鼠腹侧被盖区的多巴胺表达

Review 值得关注
Mirogabalin and emerging therapies for diabetic neuropathy
