论文已发表
注册即可获取德孚的最新动态
IF 收录期刊
Case Report
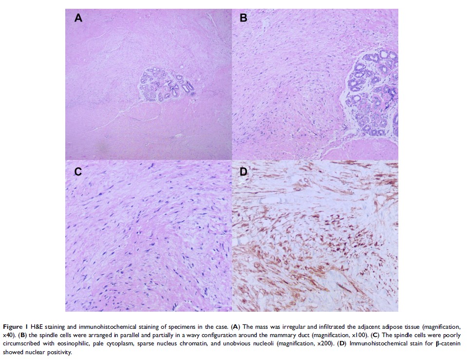
有效的高强度聚焦超声治疗复发性侵袭性乳腺纤维瘤病:一份病例报告

Original Research
血清总胆红素升高可预测接受直接经皮冠状动脉介入治疗的患者 3 年不良后果的高风险

Original Research
在早期食用天然虾青素可通过下调 F344 大鼠的 NFκB 和 COX2 来抑制 N -亚硝基甲基苄胺诱导的食管癌氧化应激和炎症

Original Research
用于晚期肺癌治疗的高活化自然杀伤细胞的制备

Original Research
miR-450 的过表达通过靶向 DNMT3a 影响 HepG2 细胞的生物学行为

Original Research
氨柔比星治疗既往未治疗的广泛性小细胞肺癌的安全性和有效性:荟萃分析
