论文已发表
注册即可获取德孚的最新动态
IF 收录期刊
Original Research
TKIs 治疗的转移性肾细胞癌患者体内脂肪成分的预后价值

Original Research
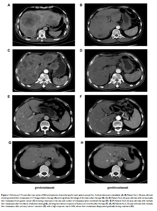
肝动脉输注奥沙利铂结合口服化疗药物 S-1 治疗无法切除的肝转移胃癌:病例报告和文献回顾

Original Research
中国复发性卵巢透明细胞癌患者手术治疗后的复发模式和生存结果:对 45 个病例的单中心分析

Original Research
一个基于早期术后 NLR 的新诺模图,用于预测胃切除术后的感染并发症

Original Research
影响中国卵巢癌患者生活质量的心理因素研究

Case Report
在小细胞肺癌中抗 SOX1 和抗-GABAB 受体抗体与自身免疫性脑炎共存:一个病例报告
