论文已发表
注册即可获取德孚的最新动态
IF 收录期刊
Original Research
本文已被撤回:Hsa_circ_RNA_0011780 通过靶向 miR-544a 降低 FBXW7,从而抑制非小细胞肺癌的增殖和转移

Original Research
乙酰基-11-酮基-β-乳香酸通过在非小细胞肺癌细胞中的细胞周期阻滞、凋亡诱导和自噬抑制而发挥抗癌作用

Original Research
复方甘草酸单铵注射液对心脏的保护作用,减少体内和体外心肌缺血损伤:L 型钙通道抑制氧化应激和调节 Ca2+ 稳态的作用

Original Research
经皮穿刺鞘内注射吗啡治疗中国难治性癌痛:疗效、安全性和成本利用分析

Original Research
BRMS1L 被确定为食管鳞状细胞癌转移抑制基因

Original Research
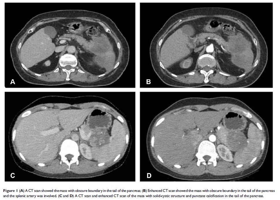
胰腺实性假乳头状瘤的诊断、外科治疗和病理学发现:一个单中心经验
