论文已发表
注册即可获取德孚的最新动态
IF 收录期刊
Methodology
采用经验证的 UPLC-MS/MS 方法定量测定大鼠血浆中的呋喹替尼及其在药代动力学研究中的应用

Original Research
安非他替治疗晚期肺癌的疗效和安全性

Original Research
围手术期静脉注射右美托咪定对成人全身麻醉后出现躁动的影响:随机对照试验的荟萃分析

Original Research
长非编码 RNA NNT-AS1 通过调节胆管癌中的 miR-485/BCL9 起到致癌基因的作用

Original Research
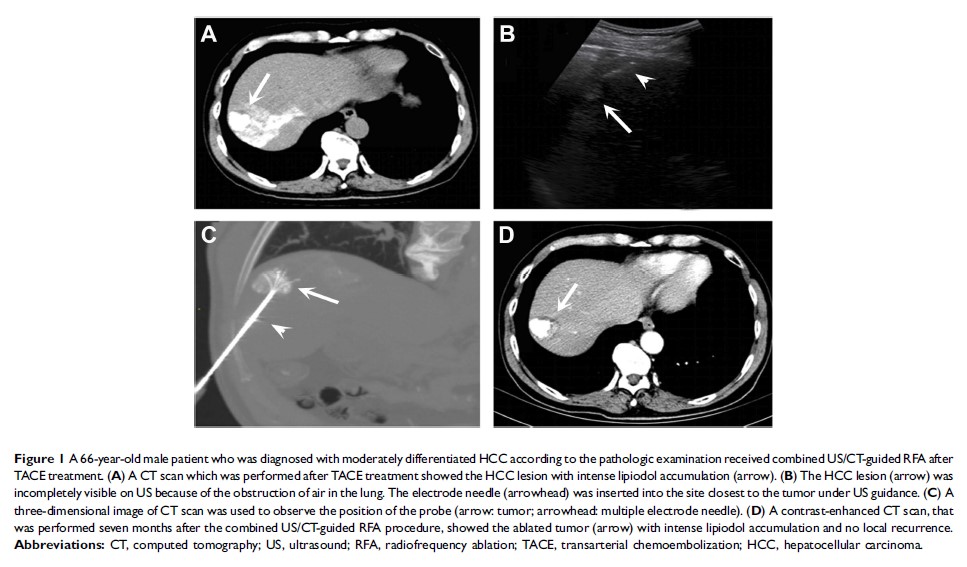
在实施经肝动脉化疗栓塞术后,结合超声/计算机断层扫描引导的经皮射频消融术治疗肝脏膈顶部肿瘤

Original Research
中国接受护理的幸存者的心理状况及其相关因素:2008 年四川地震 6 年之后
